豆荚园
会员
使用说明
加入游戏
登 录/注 册
On Boarding Day-3
收藏豆荚
剥了 4 次
年级:未设置
科目:未设置
Cara
2021-09-28
20 颗豆豆
1. 单选题
20 秒
Clincheck 分步里面可以获得以下什么信息
片切牙位和步骤
附件粘接和去除的步骤
A+B
附件的类型
2. 单选题
20 秒
附件模板只能在第一副提供
正确
不正确
根据情况判断
3. 单选题
20 秒
以下哪项是复诊监控中需要检查的内容
带到最后一副矫治器的贴合度
附件磨耗,是否丢失
邻接接触检查
以上全部
4. 单选题
20 秒
若复诊监控中观察到附件空泡与牙齿之间有间隙,则
直接重启
使用辅助手段
磨除附件
分析附件类型
5. 单选题
20 秒
以下哪项不是附件脱落的原因
咬合干扰
附件位置靠近龈缘
特殊牙面粘接(例修复体牙冠)
牙面清洁不到位
6. 单选题
20 秒
以下关于虚拟C-chain正确的是
放置在最后三步
放置在初始三步
医生特殊要求,可以放置中间
以上说法都不正确
7. 单选题
20 秒
爱齐公司成立于
1997
1998
2000
2003
8. 单选题
20 秒
现阶段,拔牙病例的进阶课程属于TC()的范畴
2
3
1.5
4
9. 单选题
20 秒
TC课程是否可以通过线上进行学习
可以
不可以
10. 单选题
20 秒
()是隐适美的优势施力方式
拉力
推力
11. 单选题
20 秒
哪些不是SmartTrack材料的特征
初始应力适宜
持久、稳定的施力
舒适的佩戴体验
较硬的触感
12. 单选题
20 秒
G6系统里3号牙上成组优化附件主要功能上
控根
内收
固位
减少佩戴不适感
13. 单选题
20 秒
6-10岁替牙早期患者比较适合以下哪种系列的矫治器
iGo
First
Moderate
Full
14. 单选题
20 秒
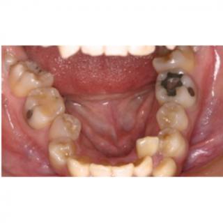
下面图示的患者矫治难度属于()难度
简单
中等
困难
15. 单选题
20 秒
图示患者的矫治难度属于()难度
简单
中等
困难
16. 单选题
20 秒
图示患者的矫治难度属于()难度
简单
中等
困难
17. 单选题
20 秒
inface功能的正面微笑照上传应早于
病例资料上传
病例提交
病例批准
18. 单选题
20 秒
MA病例的选择是否可以在处方表内完成
可以
不可以,必须要特殊说明里填写
19. 单选题
20 秒
牙齿移动步骤的修改通常在
提交病例时书写
第二次修改时说明
按照大数据运算结果即可,不需要审阅
可以在临床偏好中一次性设置
20. 单选题
20 秒
下列哪项属于推磨牙病例复诊监控的注意事项
附件贴合度
磨牙远移实现度
橡皮筋的佩戴时长
以上都是
剥豆豆
金牌
会员
无限剥豆豆游戏,更详尽的游戏报告,更多学员的支持
仅需
0.6
元
/日
你可能喜欢
“投其所好”的信息——探秘智能推送算法
剥了 2 次
4B波段GOLF、HE
剥了 2 次
2026加诚.安徽行--第一站
剥了 3 次
社区护理-慢性病管理
剥了 4 次
筷子文化小测试
剥了 2 次
© 2026 剥豆豆
EduSoho
联系我们
浙ICP备2025189234号